Logotipo Tonon Odontologia Tonon Odontologia

Tonon Odontologia – Excelência em Cuidados Dentários na Penha, São Paulo

Bem‑vindo à Tonon Odontologia, sua clínica odontológica de confiança na Penha, São Paulo. Fundada pela renomada dentista Viviani N. Tonon, nossa clínica se dedica a oferecer os mais altos padrões de cuidado e tratamento dentário. Se você está procurando por um dentista especializado na Penha, você encontrou o lugar certo!

Dentista apresentando o consultório

Por que escolher a Tonon Odontologia?

Atendimento humanizado e personalizado

Equipe especializada e constante atualização profissional

Consultas longas (1 hora) para um cuidado completo

Ambiente limpo, seguro e acolhedor

Localização conveniente na Penha de França

Nossas especialidades

Ortodontia – exemplo de sorriso alinhado

Ortodontia

Tratamentos para alinhar seus dentes e melhorar a mordida, proporcionando mais conforto e confiança. Trabalhamos com aparelhos convencionais e opções estéticas discretas.

  • Alinha o sorriso e melhora a oclusão
  • Facilita a higiene bucal e previne cáries
  • Aumenta a autoestima e a confiança
  • Opções discretas e modernas de aparelhos
Endodontia – tratamento de canal ilustrado

Endodontia

Tratamentos de canal para salvar dentes comprometidos e aliviar dores. Utilizamos técnicas modernas e equipamentos de alta precisão para garantir sua segurança e conforto.

  • Preserva o dente afetado
  • Alivia a dor e reduz inflamações
  • Recupera a função mastigatória
  • Previne infecções e extrações desnecessárias
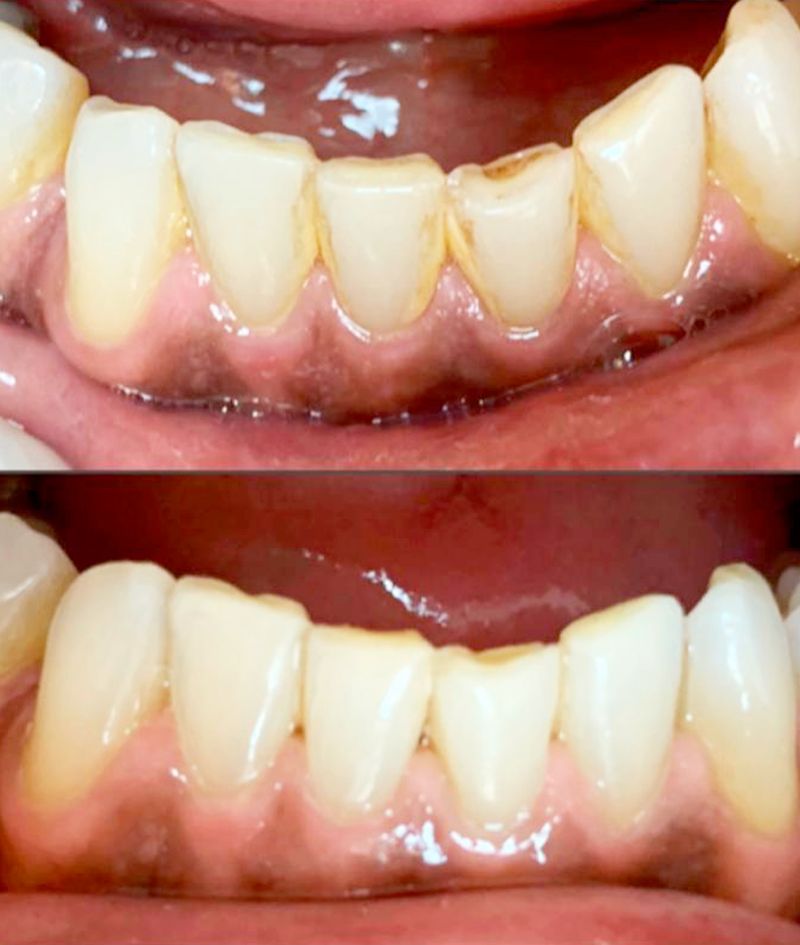
Periodontia – antes e depois de tratamento periodontal

Periodontia

Tratamentos para saúde das gengivas e dos ossos que sustentam seus dentes. Prevenir e tratar doenças periodontais contribui para um sorriso mais saudável e duradouro.

  • Previne e trata doenças da gengiva
  • Mantém dentes e ossos saudáveis
  • Melhora a saúde geral (impacto sistêmico)
  • Contribui para um sorriso bonito e seguro

Outros tratamentos e serviços

Implantodontia

A implantodontia é a especialidade odontológica que se dedica à substituição de dentes perdidos por meio de implantes dentários, proporcionando uma solução duradoura e natural para restaurar a funcionalidade e a estética do sorriso. Os implantes dentários são a opção ideal para quem busca um sorriso completo e saudável.

  • Restaurar a função mastigatória: Os implantes dentários permitem que você mastigue e fale com segurança e conforto, devolvendo a funcionalidade completa da sua boca.
  • Aparência natural: Feitos com materiais de alta qualidade, os implantes são projetados para se parecerem com dentes naturais, oferecendo um sorriso estético e harmonioso.
  • Durabilidade: Com os cuidados adequados, os implantes dentários podem durar a vida toda, sendo uma solução permanente para a perda dentária.
  • Preservação óssea: Os implantes ajudam a prevenir a reabsorção óssea que ocorre após a perda de um dente, mantendo a estrutura facial e a saúde do osso maxilar.
  • Conforto e estabilidade: Diferente das próteses removíveis, os implantes dentários são fixos e estáveis, proporcionando um conforto excepcional sem risco de deslocamento.
  • Melhora na autoestima: Um sorriso completo e saudável aumenta a confiança e a autoestima, impactando positivamente diversas áreas da sua vida pessoal e profissional.

No consultório da Dra. Viviani Nascimento Tonon, oferecemos tratamentos de implantodontia personalizados e de alta qualidade. Nossa equipe de especialistas utiliza tecnologia de ponta e técnicas avançadas para garantir a colocação precisa e segura dos implantes, proporcionando resultados duradouros e naturais.

Prótese dentária

A prótese dentária é uma solução eficaz e personalizada para substituir dentes perdidos e restaurar a funcionalidade e estética do seu sorriso. Com avanços tecnológicos e materiais de alta qualidade, as próteses dentárias oferecem uma aparência natural e um ajuste confortável, melhorando significativamente a qualidade de vida dos pacientes.

  • Restauração da função mastigatória: As próteses dentárias permitem que você mastigue e fale corretamente, restaurando a funcionalidade completa da sua boca.
  • Aparência natural: Feitas com materiais avançados, as próteses são projetadas para se parecerem com dentes naturais, proporcionando um sorriso estético e harmonioso.
  • Conforto e ajuste: Com um ajuste personalizado, as próteses dentárias são confortáveis e adaptam‑se perfeitamente à sua boca, evitando desconfortos comuns.
  • Prevenção de problemas bucais: As próteses ajudam a manter a estrutura facial, evitando o deslocamento dos dentes remanescentes e prevenindo problemas adicionais na boca.
  • Melhora na autoestima: Com um sorriso completo e bonito, a confiança e a autoestima são significativamente aumentadas, impactando positivamente diversos aspectos da sua vida.

No consultório da Dra. Viviani Nascimento Tonon, oferecemos diversas opções de próteses dentárias, desde próteses fixas até removíveis, todas feitas sob medida para atender às suas necessidades específicas. Nossa equipe utiliza tecnologia de ponta para garantir um encaixe perfeito e resultados duradouros.

Odontopediatria

A odontopediatria é a especialidade da odontologia dedicada ao cuidado da saúde bucal de bebês, crianças e adolescentes. Um acompanhamento odontológico desde cedo é essencial para garantir o desenvolvimento saudável dos dentes e criar hábitos de higiene bucal que durarão por toda a vida.

  • Prevenção e diagnóstico precoce: Consultas regulares com um odontopediatra permitem a detecção precoce de problemas dentários e bucais, prevenindo complicações futuras.
  • Acompanhamento do desenvolvimento: Monitoramos o crescimento dos dentes e da arcada dentária, garantindo que tudo esteja se desenvolvendo corretamente e intervindo quando necessário.
  • Educação em higiene bucal: Ensinamos técnicas adequadas de escovação e uso do fio dental, incentivando hábitos saudáveis desde a infância.
  • Tratamento personalizado: Oferecemos tratamentos adaptados às necessidades específicas de cada criança, desde cáries até selantes e aplicação de flúor.
  • Ambiente acolhedor: Nosso consultório é preparado para receber crianças, com um ambiente lúdico e acolhedor que torna a visita ao dentista uma experiência positiva.
  • Construção de confiança: Ao criar uma relação de confiança com o dentista desde cedo, a criança desenvolve uma atitude positiva em relação aos cuidados dentários, reduzindo o medo e a ansiedade em visitas futuras.

No consultório da Dra. Viviani Nascimento Tonon, nossa equipe de especialistas em odontopediatria utiliza técnicas gentis e eficazes para garantir que cada visita seja tranquila e produtiva. Estamos aqui para garantir que cada criança tenha um começo saudável e feliz em sua jornada de saúde bucal.

Clareamento dental

O clareamento dental é um dos procedimentos estéticos mais procurados por quem deseja um sorriso mais branco e radiante. Este tratamento simples e eficaz remove manchas e descolorações dos dentes, proporcionando uma aparência mais jovem e saudável.

  • Resultados visíveis: Em apenas algumas sessões, você pode notar uma diferença significativa na cor dos seus dentes.
  • Procedimento seguro: Utilizamos produtos de alta qualidade e técnicas avançadas para garantir um clareamento eficaz e seguro, preservando a saúde dos seus dentes e gengivas.
  • Rápido e conveniente: Com opções de clareamento em consultório ou domiciliar, você pode escolher o método que melhor se adapta à sua rotina.
  • Melhora da autoestima: Um sorriso mais branco pode aumentar sua confiança e melhorar a impressão que você causa em seu convívio social e profissional.

No consultório da Dra. Viviani Nascimento Tonon, priorizamos sua segurança e satisfação. Nossa equipe de especialistas avalia cada caso individualmente para determinar o melhor plano de tratamento, garantindo resultados duradouros e naturais.

Facetas em resina

As facetas em resina são uma solução estética moderna e eficaz para quem deseja transformar o sorriso de maneira rápida e acessível. Essas finas lâminas de resina composta são aplicadas sobre a superfície dos dentes, corrigindo imperfeições como manchas, desgastes, desalinhamentos leves e pequenas fraturas.

  • Resultado imediato: Em poucas sessões, você já pode sair do consultório com um sorriso renovado e mais harmônico.
  • Procedimento minimamente invasivo: A aplicação das facetas em resina preserva a estrutura natural dos dentes, necessitando de pouco ou nenhum desgaste.
  • Versatilidade: Ideal para corrigir diversas imperfeições estéticas, proporcionando um sorriso mais uniforme e brilhante.
  • Custo‑benefício: As facetas em resina oferecem uma excelente relação custo‑benefício, sendo uma opção mais acessível em comparação com outros tratamentos estéticos.

No consultório da Dra. Viviani Nascimento Tonon, utilizamos materiais de alta qualidade e técnicas avançadas para garantir que suas facetas em resina tenham um acabamento perfeito e natural. Nossa equipe de especialistas está pronta para ajudá‑lo a conquistar o sorriso dos seus sonhos com segurança e eficácia.

Harmonização orofacial

A harmonização orofacial combina diversas técnicas estéticas e terapêuticas para equilibrar e realçar a simetria e harmonia do rosto. Este tratamento avançado vai além da odontologia tradicional, proporcionando resultados que rejuvenescem e valorizam a beleza natural dos pacientes.

  • Rejuvenescimento facial: Técnicas como preenchimento com ácido hialurônico e aplicação de toxina botulínica suavizam rugas, linhas de expressão e sinais de envelhecimento, proporcionando uma aparência mais jovem e revitalizada.
  • Simetria e proporção: Correção de assimetrias faciais e aprimoramento das proporções do rosto, resultando em um aspecto mais harmonioso e equilibrado.
  • Melhora da autoestima: Ao realçar a beleza natural e corrigir imperfeições, a harmonização orofacial aumenta a confiança e a autoestima, impactando positivamente a vida social e profissional.
  • Procedimentos minimamente invasivos: As técnicas utilizadas são seguras e minimamente invasivas, com recuperação rápida e resultados visíveis em pouco tempo.
  • Personalização: Cada tratamento é personalizado, atendendo às necessidades e desejos específicos de cada paciente, garantindo resultados naturais e satisfatórios.
  • Equilíbrio funcional e estético: Além da estética, a harmonização orofacial pode melhorar a funcionalidade, como a correção de sorriso gengival e bruxismo, proporcionando bem‑estar integral.

No consultório da Dra. Viviani Nascimento Tonon, oferecemos tratamentos de harmonização orofacial realizados por profissionais altamente qualificados e experientes. Utilizamos os melhores materiais e técnicas avançadas para garantir resultados seguros e eficazes, sempre respeitando a individualidade de cada paciente.

Pronto para transformar seu sorriso?

Agende uma avaliação com nossos especialistas e descubra como a Tonon Odontologia pode ajudar você a conquistar saúde e autoestima. Se preferir, entre em contato diretamente pelo WhatsApp ou telefone.