Tonon Odontologia Tonon Odontologia
Vídeo de apresentação

Transforme o sorriso do seu pequeno com conforto, segurança e previsibilidade - Tratamentos de ortopedia funcional

Especialistas em reabilitação estética e funcional. Agende sua consulta presencial na Penha (SP) ou online.

• Primeira avaliação gratuita • Opção de parcelamento • Materiais premium

Equipe especialista

Profissionais especializados em Ortodontia e Ortopedia funcional dos maxilares.

Materiais de ponta

Aparelhos ortopédicos, aparelhos ortodonticos fixos, alinhadores infantis. .

Acompanhamento

Plano de tratamento, revisões e suporte no WhatsApp.

Ortopedia funcional: guiando o crescimento antes que vire problema

Tratamentos infantis que estimulam o desenvolvimento correto da face, da mordida e da respiração.

  • Planejamento do crescimento facial e funcional
  • Aparelhos ortopédicos feitos sob medida para cada fase
  • Acompanhamento que envolve pais e orienta hábitos saudáveis
Vídeo explicativo sobre as opções de aparelho

Como funciona

1) Pré-avaliação

Responda 3–6 perguntas para entendermos seu objetivo.

2) Consulta

Presencial na Penha (SP) ou online, com plano inicial.

3) Planejamento

Exames, opções de materiais e cronograma personalizado.

4) Acompanhamento

Revisões e suporte. Tudo documentado no seu prontuário.

Pacientes reais

Histórias de quem buscou alinhamento, conforto e segurança.

Arraste no celular ou use as setas

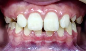
Caso Aline — antes do implante unitário
Antes
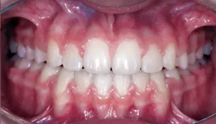
Caso Aline — depois do implante unitário
Depois

Aline — Ortodontia

Recuperou função e estética com aparelho invisível. Tempo: 18 meses

Resultados variam conforme avaliação individual.

Vídeo: Renato conta como foi usar aparelho estético

Diversos — Ortodontia estética

Ajustes, rotina preservada e fala normal em poucos dias.

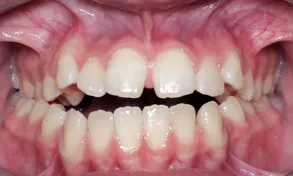
Caso Aline — antes do implante unitário
Antes
Caso Aline — depois do implante unitário
Depois

Cássio — Ortodontia

Recuperou função e estética com aparelho invisível. Tempo: 18 meses

Resultados variam conforme avaliação individual.

Dúvidas frequentes

O que é a ortopedia funcional dos maxilares?

É uma especialidade que guia o crescimento ósseo e muscular da face. Corrige desenvolvimento da mordida, respiração e postura da mandíbula de forma natural, sem extrações ou forças excessivas.

Em que idade a criança deve começar o tratamento?

A partir da dentição de dente de leite estar completa, por volta dos 2 anos. É necessário passar por uma avaliação, pois há casos de intervenção via aparelho já nesta idade.

Quais aparelhos são usados?

Usamos opções como McNamara, Hirax, Pistas Planas, Bionator, Frankel e Planas. Cada um tem uma função: expandir o palato, corrigir mordida cruzada, melhorar a postura mandibular ou reeducar a respiração.

São fixos ou removíveis?

Depende do caso. Hirax e McNamara geralmente são fixos por alguns meses. Bionator e Pistas Planas são removíveis e usados em tempo integral (exceto nas refeições e escovação).

O tratamento dói?

Não. Os aparelhos não fazem força direta nos dentes; eles estimulam o crescimento e a função muscular correta, sendo muito bem tolerados pelas crianças.

Quanto tempo dura o tratamento?

Em média 12 a 24 meses, variando com idade, tipo de aparelho e colaboração. Após a fase ativa, pode haver manutenção e acompanhamento do crescimento.

Quais problemas a ortopedia ajuda a prevenir?

Ao intervir cedo, muitas vezes evitamos aparelhos fixos no futuro, tratando precocemente:

  • Mordida cruzada
  • Mordida aberta
  • Mordida profunda
  • Respiração bucal
  • Desvios mandibulares
  • Questões posturais e de fala
Ajuda na respiração e no sono?

Sim! Aparelhos como McNamara e Bionator podem ampliar vias aéreas superiores, favorecendo respiração nasal, sono mais tranquilo e bom desenvolvimento facial.

Como saber se meu filho precisa de ortopedia funcional?

Sinais de atenção: respiração pela boca, dormir de boca aberta, morder “torto”, roer unhas, cabeça projetada para frente, dificuldade de fala. A confirmação vem com avaliação clínica e exames por profissional especializado.

O tratamento exige muito da criança?

Não é “puxado”, mas a colaboração é essencial: uso correto do aparelho e presença nas revisões. Trabalhamos também reeducando hábitos — mastigar dos dois lados, respirar pelo nariz e posicionar bem a língua.

Depois da ortopedia, meu filho precisará de aparelho fixo?

Em muitos casos, não. Quando tratamos no momento certo, a ortopedia pode evitar tratamentos ortodônticos longos e complexos no futuro.

Onde estamos

Bairro da Penha — São Paulo/SP. Estacionamento e fácil acesso por transporte público.

WhatsApp: (11) 96465-0005

O que nossos pacientes dizem

Mais de 4,9★ no Google e dezenas de depoimentos que refletem o cuidado, a humanização e o carinho que fazem a Tonon Odontologia ser referência na Penha.

5,0 • há 41 semanas

“Consultório impecável, atendimento nota mil.”

— Francine Brito
5,0 • abr/2024

“O melhor atendimento e qualidade de serviço que já vi. Fui e voltarei sempre.”

— Eduardo Bufani
5,0 • out/2023

“Consultório sensacional. Profissionais competentes, atualizados e humanos. Recomendo.”

— Edison Ribeiro
5,0 • out/2023

“Consultório lindo, limpo e organizado, além do melhor atendimento. Recomendo de olhos fechados.”

— Giuliana Rossin
5,0 • out/2023

“Consultório muito bem organizado e fui muito bem atendido.”

— Carlos Suguino
5,0 • out/2023

“Equipe nota 1000. Atendem minha filha com todo amor do mundo. Somos muito gratos.”

— Paula Sorgon
5,0 • out/2023

“Ótimo atendimento!”

— Gabriela Vidal
5,0 • out/2023

“Muita competência e qualidade nos serviços da Dra. Viviane. Fui muito bem atendida, super recomendo.”

— Dani Alves
5,0 • out/2023

“Profissional dedicada e cuidadosa, proporcionando sempre os melhores tratamentos para minha família.”

— Erika Castilhos
5,0 • out/2023

“Atendimento perfeito, clínica sempre limpa e higienizada. Sempre voltarei!”

— Ariadne Canonici
5,0 • out/2023

“Consultório lindo, muito educadas. Me atendem há mais de 3 anos, são incríveis.”

— Arthur Brandamento Frasica
5,0 • out/2023

“Profissionais sensacionais, tratamento impecável e consultório lindo.”

— Mariana Solera
5,0 • há 41 semanas

“Consultório impecável, atendimento nota mil.”

— Francine Brito
5,0 • abr/2024

“O melhor atendimento e qualidade de serviço que já vi. Fui e voltarei sempre.”

— Eduardo Bufani
5,0 • out/2023

“Consultório sensacional. Profissionais competentes, atualizados e humanos. Recomendo.”

— Edison Ribeiro
5,0 • out/2023

“Consultório lindo, limpo e organizado, além do melhor atendimento. Recomendo de olhos fechados.”

— Giuliana Rossin
5,0 • out/2023

“Consultório muito bem organizado e fui muito bem atendido.”

— Carlos Suguino
5,0 • out/2023

“Equipe nota 1000. Atendem minha filha com todo amor do mundo. Somos muito gratos.”

— Paula Sorgon
5,0 • out/2023

“Ótimo atendimento!”

— Gabriela Vidal
5,0 • out/2023

“Muita competência e qualidade nos serviços da Dra. Viviane. Fui muito bem atendida, super recomendo.”

— Dani Alves
5,0 • out/2023

“Profissional dedicada e cuidadosa, proporcionando sempre os melhores tratamentos para minha família.”

— Erika Castilhos
5,0 • out/2023

“Atendimento perfeito, clínica sempre limpa e higienizada. Sempre voltarei!”

— Ariadne Canonici
5,0 • out/2023

“Consultório lindo, muito educadas. Me atendem há mais de 3 anos, são incríveis.”

— Arthur Brandamento Frasica
5,0 • out/2023

“Profissionais sensacionais, tratamento impecável e consultório lindo.”

— Mariana Solera

Agende agora

Escolha presencial na Penha (SP) ou consulta online. Confirmação imediata.

  • Confirmação por WhatsApp e e-mail
  • Lembretes automáticos
  • Reagendamento simples

Usamos cookies/armazenamento local para melhorar sua experiência, medir conversões e personalizar comunicações. Saiba mais.

Pré-avaliação rápida

1 = posso esperar • 5 = preciso logo

Ao enviar, você concorda com o tratamento de dados para fins de marcação e preparo de consulta (LGPD).

Agendar consulta